Smile Gallery

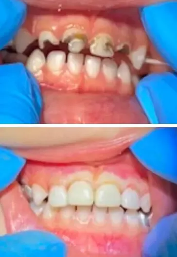
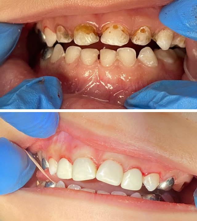
Welcome to our pediatric smile gallery, where you can see how gentle, kid‑friendly dentistry helps little smiles grow bright and healthy. Browse these before‑and‑after photos to explore how we’ve treated cavities, corrected alignment, and improved confidence for children of all ages. Every case you see here represents a customized treatment plan, a caring experience, and a happier child who now loves to show off their smile.

Book Online

Contact Our Fairfax
Pediatric Dentist

At Fair Oaks Smiles Pediatric Dentistry, we provide top-tier dental care for kids in a setting that’s both contemporary and enjoyable, instilling a sense of safety and comfort in children of all ages. We’re committed to creating a positive atmosphere so that your little ones are always excited for their next visit!

For more details or to set an appointment, feel free to reach out to our friendly pediatric dentist in Fairfax, VA at (703) 589-9962.

4001 Fair Ridge Drive; Suite #205
Fairfax, VA 22033
Call (703) 589-9962
Book an Appointment Today
Website Design & Marketing by Optima